<< Prev Question Next Question >>

Question 38/76

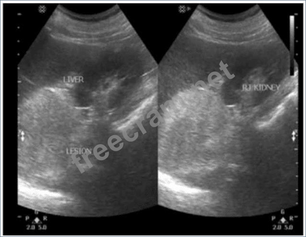
Which finding is most likely demonstrated in these images of a hypertensive patient with a history of hematuria?

LEAVE A REPLY

Your email address will not be published. Required fields are marked *

Question List (76q)
Question 1: Which condition is most consistent with this image of a post...
Question 2: Which normal anatomical structure is also known as the acces...
Question 3: Which of the following is the most common symptom of choleli...
Question 4: Which condition is demonstrated in this image? (Exhibit)...
Question 5: Which of the following is a possible early complication of a...
Question 6: Which condition is associated with multiple pancreatic cysts...
Question 7: Which imaging technique best demonstrates ureteral patency?...
Question 8: Which condition is most likely depicted in this image? (Exhi...
Question 9: Which type of choledochal cyst is the most common?...
Question 10: Which thyroid condition is most likely caused by a viral inf...
Question 11: Which condition is most consistent with the sonographic appe...
Question 12: Which anatomical area of the male reproductive system is dem...
Question 13: Which lymph node shape is concerning for malignancy in the p...
Question 14: Beginning at the renal artery, what is the correct sequence ...
Question 15: Which scanning approach was utilized to obtain this image? (...
Question 16: Which condition is most likely the cause of claudication exp...
Question 17: Which condition results in the vascular abnormality shown in...
Question 18: Which finding is demonstrated in this image? (Exhibit)...
Question 19: Which technique is used to demonstrate the finding in this v...
Question 20: Which complication is of greatest concern with undescended t...
Question 21: Which measurement is the upper limit for a normal gallbladde...
Question 22: Which diagnosis is most consistent with this image from a pa...
Question 23: Which sonographic appearance of the normal epididymis is the...
Question 24: Which complication would be associated with retroperitoneal ...
Question 25: Which sonographic finding is most consistent with scrotal in...
Question 26: Which exam type would be most beneficial for evaluating an e...
Question 27: Which condition is most consistent with the findings in the ...
Question 28: Which laboratory value stays elevated longest and is conside...
Question 29: Which condition is a common cause of biliary duct obstructio...
Question 30: Which arterial branches lie at the base of the renal pyramid...
Question 31: Which congenital disorder is most consistent with the findin...
Question 32: Which best describes the Doppler waveform findings in this i...
Question 33: Which hernia characteristic is demonstrated in these images?...
Question 34: Which characteristic is associated with complex pleural effu...
Question 35: Which finding is an indication for renal biopsy to assess fo...
Question 36: Which change of the inferior vena cava spectral Doppler wave...
Question 37: Which diagnosis is most accurate based on the findings in th...
Question 38: Which finding is most likely demonstrated in these images of...
Question 39: Identify the region where Doppler sampling should be perform...
Question 40: Which foreign body is better visualized with sonography than...
Question 41: What is the most common malignancy of the prostate?...
Question 42: Which malignancy most commonly metastasizes to the testes?...
Question 43: Which congenital anomaly is demonstrated in this image? (Exh...
Question 44: Which disease process may cause numerous shadowing calcifica...
Question 45: Which probe frequency is most appropriate for imaging of the...
Question 46: Which condition is most likely associated with this image of...
Question 47: Which gray scale artifact is caused by the oscillation of ga...
Question 48: Which structure is indicated by the arrow on this image? (Ex...
Question 49: Which common congenital anomaly is typically seen as a cysti...
Question 50: Which condition is characterized by abnormal dilatation of v...
Question 51: Which neoplasm is a benign tumor of the spleen?...
Question 52: Which condition is most likely in a patient presenting with ...
Question 53: Which sonographic finding distinguishes focal nodular hyperp...
Question 54: What is the main purpose for performing focused abdominal so...
Question 55: Which retroperitoneal finding is most likely associated with...
Question 56: Which condition is most consistent with the findings in this...
Question 57: What is the location of the left lobe of the thyroid gland?...
Question 58: Which pancreatic condition is commonly associated with compl...
Question 59: Which vascular condition is most likely associated with the ...
Question 60: Which type of hernia is located medial to the inferior epiga...
Question 61: Which sonographic finding is most consistent with this image...
Question 62: Which arteries are the immediate branches of the celiac trun...
Question 63: Identify the congenital anomaly. Using your mouse, place the...
Question 64: A 60-year-old man presents to the emergency room, complainin...
Question 65: Which structure is indicated by the arrow on this image? (Ex...
Question 66: Which action should a sonographer take if the abdominal aort...
Question 67: Which vessel is most likely to display hepatofugal flow in t...
Question 68: Based on this image, which congenital anomaly should be susp...
Question 69: Which clinical finding is most likely associated with the pa...
Question 70: Which area of the spleen is not covered by visceral peritone...
Question 71: Which condition is demonstrated in this image? (Exhibit)...
Question 72: Which sonographic appearance of the bile ducts is demonstrat...
Question 73: Elevation of alpha-fetoprotein levels is a characteristic fi...
Question 74: What is the most common cause of nutcracker syndrome?...
Question 75: How are portal veins differentiated from hepatic veins?...
Question 76: Which abnormality is the most common adult adrenal tumor?...